Descripción:
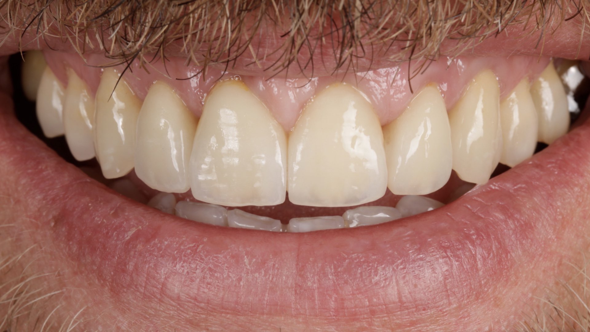
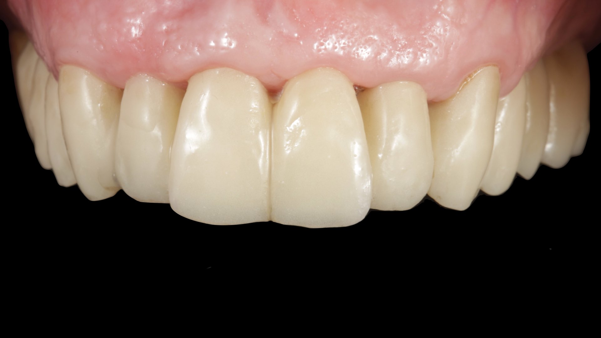
No siempre podemos solucionar nuestros casos con carillas. No es una elección de preferencia personal sino que viene determinado por aspectos técnicos y funcionales de cada paciente.
Cuando los dientes están muy destruidos, o bien, debemos levantar casos antiguos, ocurre que en muchas ocasiones debemos combinar todos los sistemas que están a nuestro alcance para poder dar el mejor resultado individual a cada pieza y global al conjunto.
El estudio preliminar de todos los condicionantes nos permiten tomar estas decisiones y hacerte a ti partícipe ANTES de empezar.


































































