CASOS – CERÁMICAS/PORCELANA

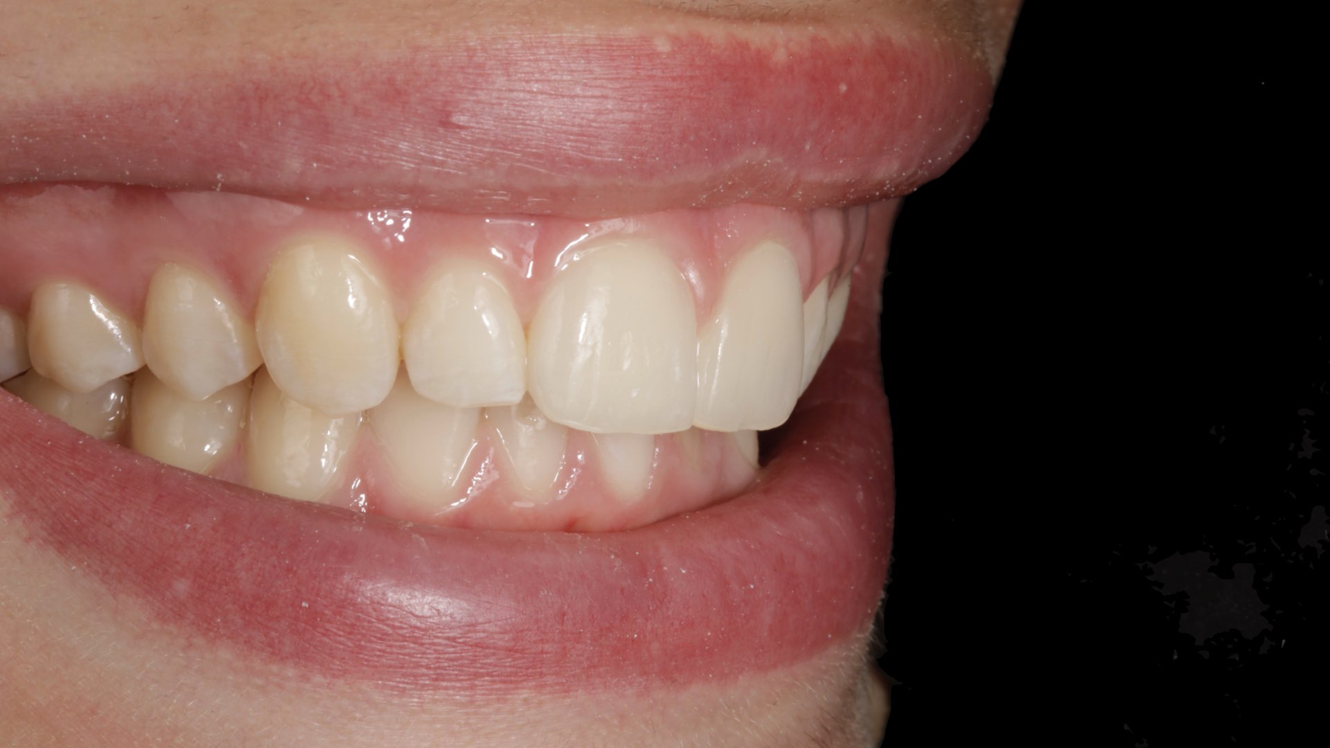
Carillas

Descripción:

Son muy conservadoras para el diente y estéticamente se pueden conseguir resultados espectaculares. Pero no siempre serán la elección puesto que debe darse una serie de condicionantes para que su estabilidad a medio-largo plazo sea la correcta:

  • Presencia en diente de esmalte suficiente para asegurar su correcta adhesión (si la pieza está muy destruida, esta adhesión se ve comprometida y puede favorecer el despegamiento de la carilla y habrá que optar por otras técnicas y diseños)
  • Buenas condiciones funcionales y de oclusión (cómo contactan mis dientes), puesto que de lo contrario puede favorecer su fractura al igual que sucede en los dientes naturales

 

Todos estos aspectos tan importantes, los analizaremos antes de comenzar para asesorarte de cuál sería la mejor elección para tu caso concreto